Radiordle Icon

Radiordle

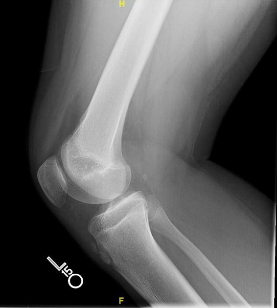
Puzzle 70
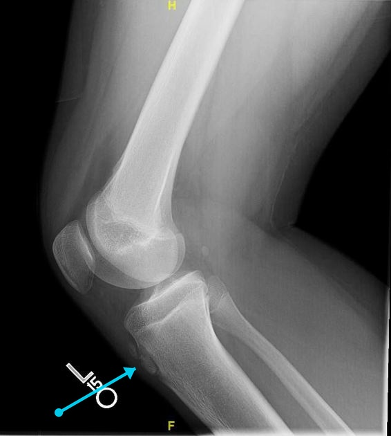
Puzzle 70 annotated

What's the Diagnosis?

Guess 1 / 5