Radiordle Icon

Radiordle

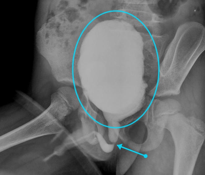
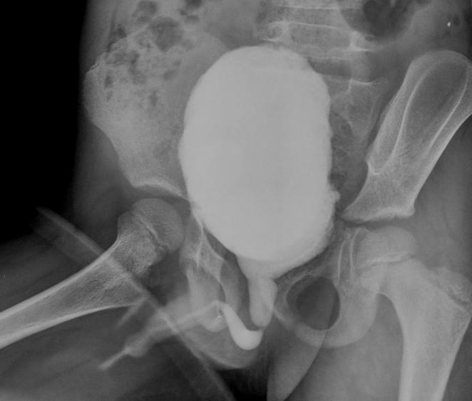
Puzzle 67
Puzzle 67 annotated

What's the Diagnosis?

Guess 1 / 5