Radiordle Icon

Radiordle

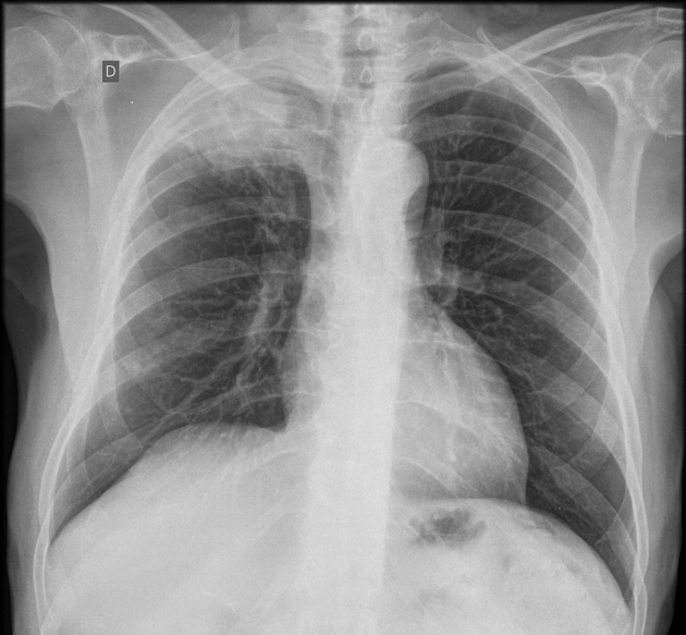
Puzzle 63
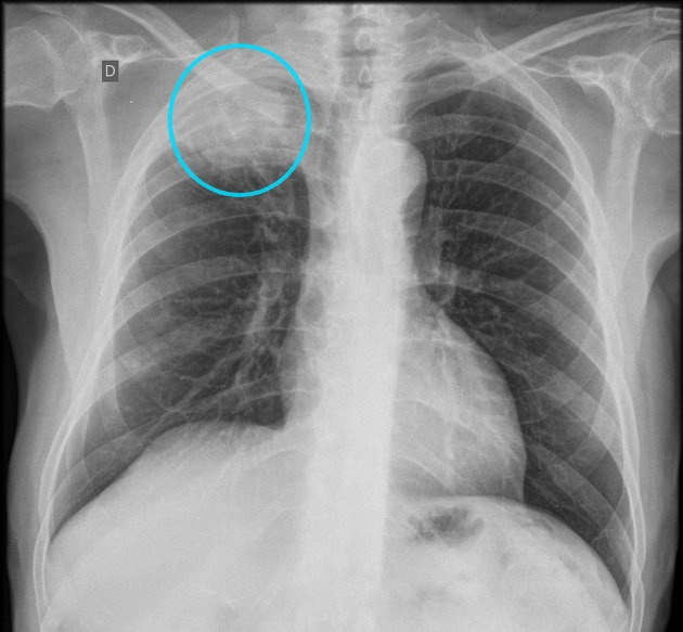
Puzzle 63 annotated

What's the Diagnosis?

Guess 1 / 5