đ
Archives
Radiordle
About
đŹ
Feedback
đ
Stats
Radiordle
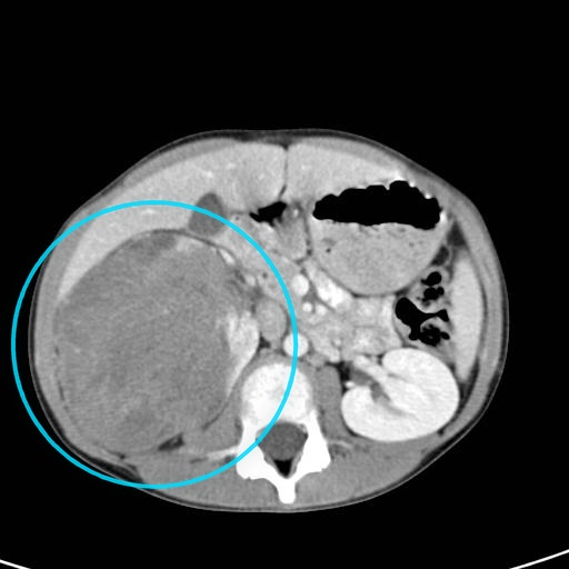
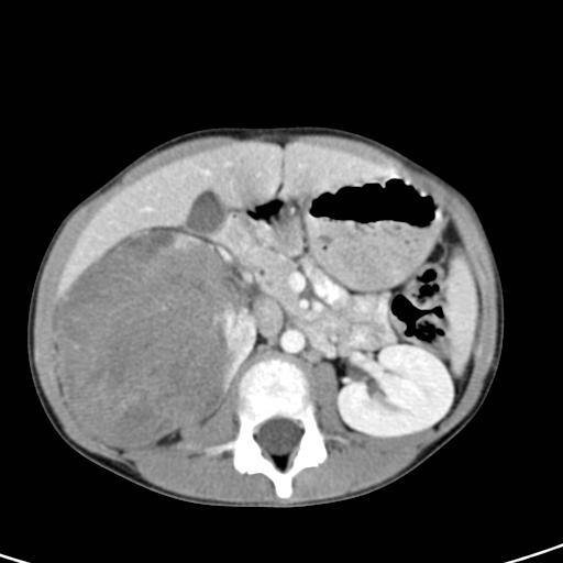
What's the Diagnosis?
Guess 1 / 5
Submit
Guess 1 / 5
Submit