Radiordle Icon

Radiordle

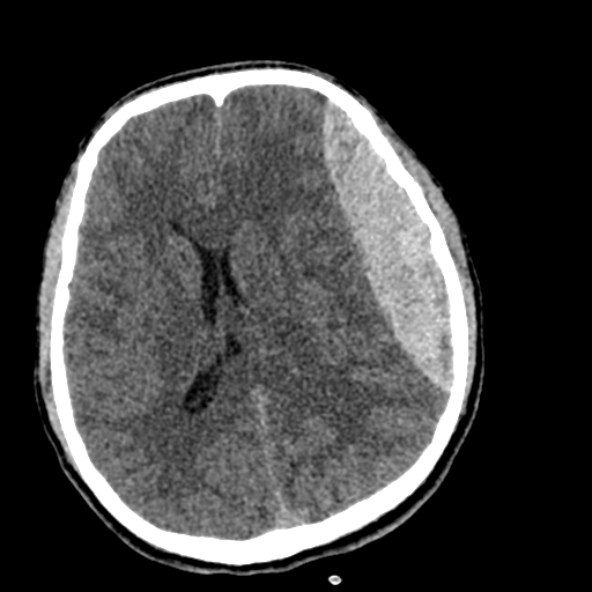
Puzzle 53
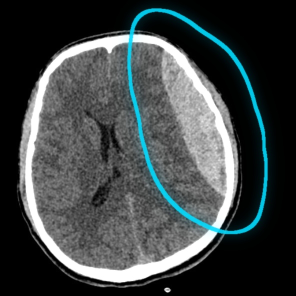
Puzzle 53 annotated

What's the Diagnosis?

Guess 1 / 5