Radiordle Icon

Radiordle

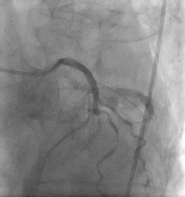
Puzzle 48
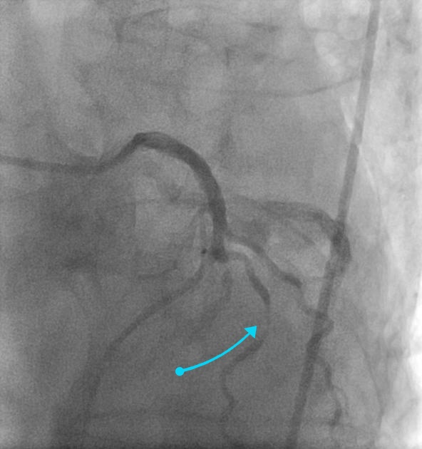
Puzzle 48 annotated

What's the Diagnosis?

Guess 1 / 5