Radiordle Icon

Radiordle

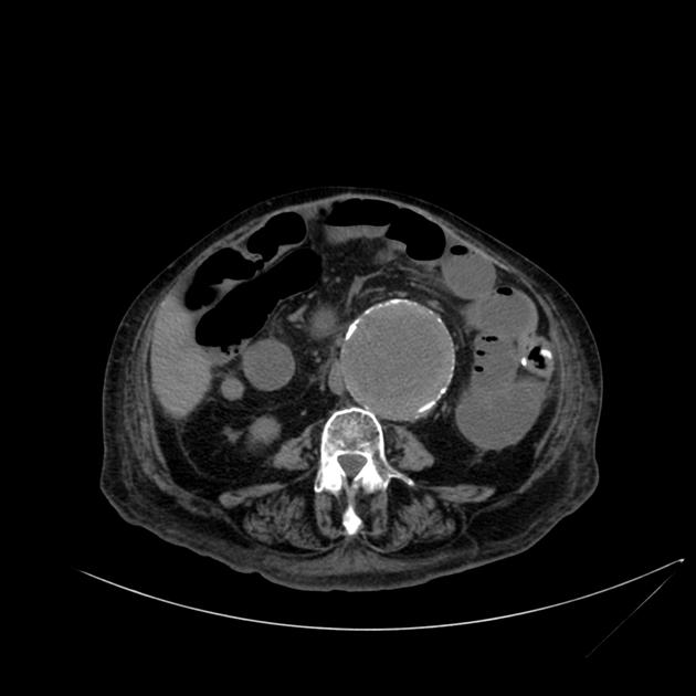
Puzzle 44
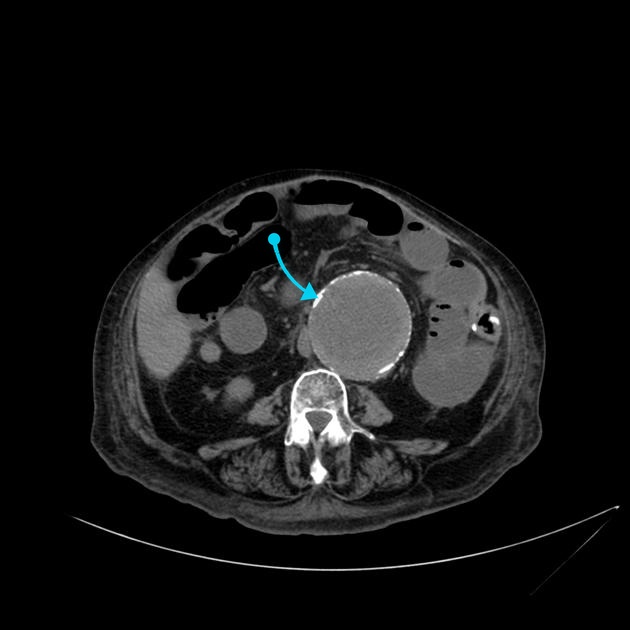
Puzzle 44 annotated

What's the Diagnosis?

Guess 1 / 5