Radiordle Icon

Radiordle

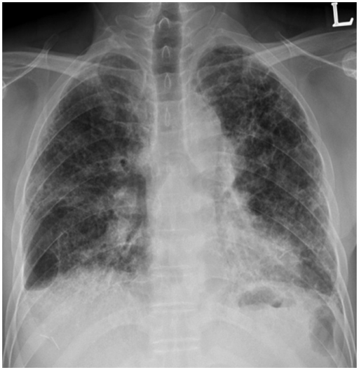
Puzzle 20

What's the Diagnosis?

Guess 1 / 5